loader
Style Options
Close X

Welcome to Kargathra Dental Clinic

Smile! You're in good hands.
Let us take care of you and your smile.


Find out more about usBook An Appointment

A reason to smile!

"We listen to Your Concerns, Answer to Your Questions and Make Sure that You go With a Satisfactory Smile on Your Face."


Find out more about usBook An Appointment

Our goal is to make sure you leave with a smile on your face!

Dr. N. H. Kargathra [B.D.S. , I.C.O.I. (USA)], a dynamic, young, practitioner, is an indispensable part of governing team at dr. kargathra dental clinic. he is having meritorious academic record in dental science. he is a highly qualified vivacious dentist with an innate instinct of empathizing with patients. he is specialist in dental implant, fixed teeth & laser dentistry. moreover he is the first most youngest and the only dentist to introduce dental implants in porbandar. he has been serving his patients with extensive care and satisfactory treatments.

- Dr. Nikhil Kargathra (Dental Surgeon & Implantologist)

Blessed are they who hold lively conversations with the helplessly mute, for they shall be called dentists.

Dr. H. Kargathra is one of the leading and renowned dentist of porbandar, gujarat. with extensive training and experience of 40 years in all areas of dentistry. he has been providing knowledgeable and experienced, full service dental care for patients of all ages. since 1975 he has been serving his patients with splendid and highly qualitative treatments.

- Dr. Himat Kargathra (B.D.S. & Dental Surgeon)

About Our Facilities

Here at Kargathra Dental Clinic our Patients Come First.
We have friendly staff, a clean facility and excellent patient service.

DENTAL IMPLANT

First Time in Porbandar with all Latest Facilities for Implant.

DIRECT DIGITAL OPG

X-ray of All Teeth with Jaw Bone by Carestream Dental CS8100 USA.

Bloodless Laser Surgery

No Drills, No Cut, No Needles, Pain & Blood Less Surgery

Teeth Whitening

Teeth Whitening Process in Just 20 Minutes by LASERWHITE 20

RVG(OWANDY FRANCE)

Total Solutions For Gums & Dental Problems by RVG System.

Root Canal Therapy

Root Canal therapy is Painless Way to Save a Decayed Tooth.

Our Team

A Clinic is only as strong as the team of Doctors behind it.
Meet our team and find out why we're passionate about what we do.

Our Services

We provide many exciting services that will leave you with a bright, white smile on your face!

A dental implant is an artificial tooth root that is placed into your jaw to hold a replacement tooth or bridge. Dental implants may be an option for people who have lost a tooth or teeth due to periodontal disease, an injury, or some other reason.

disease, an injury, or some other reason.

A crown is a tooth-shaped cap that is placed over a tooth. It is used to strengthen and protect your tooth structure. Most crowns are made of a hard, white substance to help them look natural.

A root canal is a treatment used to repair and save a tooth that is badly decayed or becomes infected. During a root canal procedure, the nerve and pulp are removed and the inside of the tooth is cleaned and sealed.

Teeth whitening is a simple process. Whitening products contain one of two tooth bleaches (hydrogen peroxide or carbamide peroxide). These bleaches break stains into smaller pieces, which makes the color less concentrated and your teeth brighter.

Impacted wisdom teeth (or impacted third molars) are wisdom teeth which do not fully erupt into the mouth because of blockage from other teeth (impaction).

0

Happy Smiles

0

Facebook Likes

0

Twitter Followers

0

Implant Placed

Make an appointment with us today!

Book an appointment

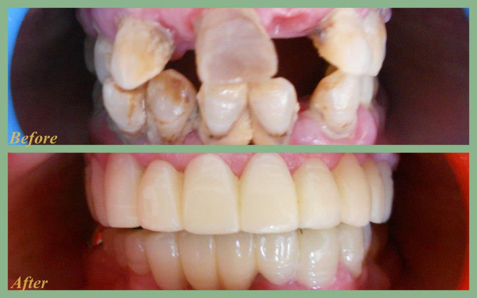
Portfolio

Have a look at some of our work

What our Patients say

Our Specialities

Have a look and see what's We are Special in

NSK Surgic Pro Implant Motor

The NSK Surgic Pro is a compact, stylish and fully integrated system incorporating the unique NSK Advanced Handpiece Calibration (AHC).

Biolase Epic Laser

Teeth Whitening, Soft Tissue Surgery, and Pain Therapy with EPIC experience! The only diode laser in the USA cleared for three unique therapy modes.

Owandy RVG

The Fifth Generation of Owandy Intra Oral Sensors confirms Owandy’s strength in dental imaging systems. This sensor brings forward 5 generations of learning what means most in digital imaging.

Carestream Direct Digital OPG

This Direct Digital OPG Ceph incorporates all the latest functionality for optimised imaging, including a variable OPG focal trough designed to follow more closely the shape of the dental arch.

Dentsply Endo Motor

The X-Smart™ is an endodontic micro-motor, specifically designed to drive NiTi rotary instruments. The X-Smart™ is a simple, compact and lightweight unit, adapted to the needs of an endodontic practice.

Nobel Biocare Implant System

Nobel Biocare is the pioneer in the field of innovative implant-based dental restorations – from single-tooth to fully edentulous indications.

Find us on the map

Call us, email us or stop by the clinic, we're always here for you!

Visit our Clinic

Kargathra Dental Clinic
Krishna Park,
Zaveri Bunglows,
Opp. H.M.P. Colony,
Porbandar - 360575

Call Us

drnikhil@kargathradental.com
P: 0286-2243026
M: 9429900030

Clinic Hours

Morning: 10AM to 01PM
Evening: 05PM to 08PM
Sunday: Closed

Send us a message



Please fill out all required fields